オールジルコニアクラウンのブリッジの症例動画 説明 28SD
28 SD YOUTUBE動画 説明 ここをクリックすると再生されます。
それにしても、アマルガム水銀になどによる金属アレルギーはひどいですね。
オールセラミッククラウンのメタボンブリッジ、ハイブリッドセラミックのブリッジ 割れた(欠た),フル(ピュア)ジルコニアのブリッジは硬い 割れない 割れにくい 白い歯 にやり直し(かぶせなおし) 歯ぎしりしなければオールセラミックでもe-maxなら大丈夫ですが。
埼玉県さいたま市大宮駅 西口鈴木歯科医院矯正インプラントセンター 三橋 櫛引 大成 上尾市 桶川市 鴻巣市上小町 川口市 日進 土呂町 東大宮 高鼻町 下落合 上落合 佐知川 東口 見沼区 天沼町 寿能町 浅間町 大門町 三条町 プラザ 西遊馬 西新井 板橋区 春日部市 越谷市 赤羽 岩槻 大和田 七里 足立区 北区 宮原町 ステラタウン 与野本町 浦和区 北浦和 新三郷 三郷市 豊島区 池袋 杉並区 新宿 中野 東京 戸田市 富士見市 北本市 加須市 蓮田市 羽生市 久喜市 白岡市 伊奈町 幸手市 草加市 和光市 志木市 上福岡
カテゴリー:セラミック、ジルコニア審美歯科 YOUTUBE動画症例集 ,症例集 ,未分類 投稿日:2013年6月6日
オールジルコニアクラウンの説明動画その24SD
オールジルコニアクラウンの説明 YOUTUBE動画 その24SD ここをクリックすると再生されます
オールセラミックとも、ジルコニアオールセラミックとも違います。フルジルコニアクラウン、ピュアジルコニアクラウン、オールジルコニアクラウン、ブリッジ、セルコン Z冠 パールクラウン ZEP冠 ダイヤモンドクラウン タイザン アプリコットクラウン 埼玉県さいたま市大宮駅西口7分鈴木歯科医院矯正インプラントセンターhttp://www.e-haisha3.com/archives.html 048-641-0935 ピュアジルコニアクラウン オールジルコニアクラウン フルジルコニアクラウン ブリッジ オールセラミッククラウン ジルコニアオールセラミック オールジルコニアオールセラミッククラウン セルコン Z冠 安い 格安 激安 65000円 52500円 色調調整 あり なし 違い ダイヤモンドオールセラミック 銀歯を白い歯にする湘南美容外科 SBC 38000円 セルコンZ冠 パールクラウン ZEP冠 デンツプライ 三金ラボラトリー 原価 技工費用 技工所 カタナ ラヴァ KATANA LAVA Z-CAD HTL ホワイト ライト ミディアム 色 インテンス A1 A2 A3 プレミアム METOXIT メトキシ 35000円
の説明の保険適用のレジンで説明動画
ハードレジンジャケットクラウンや小臼歯の白いプラスチックのかぶせもの 保険適用内 保険診療で白い歯にできないの?CR フロアブルレジン 金属アレルギー 皮膚科 パッチテスト
オールジルコニアクラウン フルジルコニアクラウン
前歯のオールセラミックやホワイトジルコニアクラウン白い歯のオールセラミッククラウン、ジルコニア、ハイブリッドセラミック、セラミックインレーが割れた 歯ぎしり 割れない ジルコニアインレー ラミネートベニア 保険 銀歯 修理 方法
ポーセレン 噛む力強い 食いしばる
かみ合わせ 噛み合わせ 頑丈 白い歯の歯茎と歯の境目 境い目 キワ(きわ、ふち、縁)が黒いのは虫歯や被せ物の金属が歯ぐきが下がって見えてきているからです。さらに根も変色しているのも原因の一つ。オールセラミッククラウンやオールジルコニアクラウン、ブリッジ 、ハイブリッドセラミックなどのメタルフリー 金属を不使用 使わない差し歯や被せ物 ブリッジをすれば防げるのです。解決法 方法 歯を白く 芸能人や清原和博、ガクト Gacktのような白い歯も可能です。保険診療と自費の違いの説明動画 症例 写真 奥歯や前歯 自費 保険の違い 安い 強度 頑丈さ 色 値段 費用 価格 名医 メタボン メタルボンド メタルセラミック 保険適応 保険診療 安い 口コミ 評判もいいです。 ブリッジ メタルフリー 金属アレルギー 金属使わない
HJK HJCのオールセラミッククラウン、オールジルコニアクラウン、フルジルコニアクラウン、ハイブリッドセラミック審美歯科の説明動画写真症例 金属アレルギー ホワイトニング 保険前歯の違い 奥歯 インレー クラウン 支払い 分割払い ローン 低料金 芸能人 清原和博 ガクト Gackt 歯医者 下顎 奥歯のインプラント手術 CT 3D化 simplant シミュレーション 抜歯 人工骨 骨再生 根が割れた 歯茎 歯ぐき 歯肉が腫れた 根の膿 安い 格安 激安 スクリューベント プラトン 滅菌 消毒 ちゃんとしてる オペ室がある 上尾市 鴻巣市 桶川市 春日部市 越谷市 口コミ 評判 うまい 腕がいい 三橋 指扇 久喜市 志木市 岩槻市 さいたま新都心 板橋区 足立区 西新井 西遊馬 宮原町 東口 東大宮 土呂町 白岡市新宿区 中野区 新三郷 三郷市 八潮市 羽生市 蓮田市 吉野町 吉川市 加須市 浅間町 日進 佐知川 天沼町 見沼区 浦和区常盤 北本市 北区 北浦和 与野本町 植田谷本 今羽 大成 櫛引 大和田 七里 風渡野 大宮公園 高鼻町 高木 本郷町 上小町 植竹 ステラタウン イオン
武蔵浦和 南浦和 川口市 戸田市 富士見市 白鍬 三条町 西大宮 病院 歯列矯正 二ツ宮 行田市 飯能市 草加市 和光市 北本市東松山市 朝霞市 蕨市 新座市 日高市 大田区 目黒区 世田谷区 品川区 狭山市 台東区 葛飾区 江戸川区 荒川区 杉並区
–shin Suzuki
オールセラミックのセット 症例 画像 写真
オールセラミックのセット 症例 画像 写真
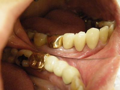
今日、セットしたのは、オールセラミックですが、後ろの奥歯は、ジルコニアクラウンです。
硬さは、ジルコニアのほうが硬いです。 歯ぎしりする方は、奥歯の大きいのにはジルコニアがおすすめです。
今日の小臼歯は、オールセラミックで色をきれいにあわせました。
ジルコニアクラウンは、すこしパールのような白さやテカリがあるので奥歯に使用。小臼歯には使用しませんでした。来年は、小臼歯でもきれいな色が出るはずです。
オールセラミックとも、ジルコニアオールセラミックとも違います。フルジルコニアクラウン、ピュアジルコニアクラウン、オールジルコニアクラウン、ブリッジ、セルコン Z冠 パールクラウン ZEP冠 ダイヤモンドクラウン タイザン アプリコットクラウン 埼玉県さいたま市大宮駅西口7分鈴木歯科医院矯正インプラントセンターhttp://www.e-haisha3.com/archives.html 048-641-0935 ピュアジルコニアクラウン オールジルコニアクラウン フルジルコニアクラウン ブリッジ オールセラミッククラウン ジルコニアオールセラミック オールジルコニアオールセラミッククラウン セルコン Z冠 安い 格安 激安 65000円 52500円 色調調整 あり なし 違い ダイヤモンドオールセラミック 銀歯を白い歯にする湘南美容外科 SBC 38000円 セルコンZ冠 パールクラウン ZEP冠 デンツプライ 三金ラボラトリー 原価 技工費用 技工所 カタナ ラヴァ KATANA LAVA Z-CAD HTL ホワイト ライト ミディアム 色 インテンス A1 A2 A3 プレミアム METOXIT メトキシ 35000円
の説明の保険適用のレジンで説明動画
ハードレジンジャケットクラウンや小臼歯の白いプラスチックのかぶせもの 保険適用内 保険診療で白い歯にできないの?CR フロアブルレジン 金属アレルギー 皮膚科 パッチテスト
オールジルコニアクラウン フルジルコニアクラウン
前歯のオールセラミックやホワイトジルコニアクラウン白い歯のオールセラミッククラウン、ジルコニア、ハイブリッドセラミック、セラミックインレーが割れた 歯ぎしり 割れない ジルコニアインレー ラミネートベニア 保険 銀歯 修理 方法
ポーセレン 噛む力強い 食いしばる
かみ合わせ 噛み合わせ 頑丈 白い歯の歯茎と歯の境目 境い目 キワ(きわ、ふち、縁)が黒いのは虫歯や被せ物の金属が歯ぐきが下がって見えてきているからです。さらに根も変色しているのも原因の一つ。オールセラミッククラウンやオールジルコニアクラウン、ブリッジ 、ハイブリッドセラミックなどのメタルフリー 金属を不使用 使わない差し歯や被せ物 ブリッジをすれば防げるのです。解決法 方法 歯を白く 芸能人や清原和博、ガクト Gacktのような白い歯も可能です。保険診療と自費の違いの説明動画 症例 写真 奥歯や前歯 自費 保険の違い 安い 強度 頑丈さ 色 値段 費用 価格 名医 メタボン メタルボンド メタルセラミック 保険適応 保険診療 安い 口コミ 評判もいいです。 ブリッジ メタルフリー 金属アレルギー 金属使わない
HJK HJCのオールセラミッククラウン、オールジルコニアクラウン、フルジルコニアクラウン、ハイブリッドセラミック審美歯科の説明動画写真症例 金属アレルギー ホワイトニング 保険前歯の違い 奥歯 インレー クラウン 支払い 分割払い ローン 低料金 芸能人 清原和博 ガクト Gackt 歯医者 下顎 奥歯のインプラント手術 CT 3D化 simplant シミュレーション 抜歯 人工骨 骨再生 根が割れた 歯茎 歯ぐき 歯肉が腫れた 根の膿 安い 格安 激安 スクリューベント プラトン 滅菌 消毒 ちゃんとしてる オペ室がある 上尾市 鴻巣市 桶川市 春日部市 越谷市 口コミ 評判 うまい 腕がいい 三橋 指扇 久喜市 志木市 岩槻市 さいたま新都心 板橋区 足立区 西新井 西遊馬 宮原町 東口 東大宮 土呂町 白岡市新宿区 中野区 新三郷 三郷市 八潮市 羽生市 蓮田市 吉野町 吉川市 加須市 浅間町 日進 佐知川 天沼町 見沼区 浦和区常盤 北本市 北区 北浦和 与野本町 植田谷本 今羽 大成 櫛引 大和田 七里 風渡野 大宮公園 高鼻町 高木 本郷町 上小町 植竹 ステラタウン イオン
武蔵浦和 南浦和 川口市 戸田市 富士見市 白鍬 三条町 西大宮 病院 歯列矯正 二ツ宮 行田市 飯能市 草加市 和光市 北本市東松山市 朝霞市 蕨市 新座市 日高市 大田区 目黒区 世田谷区 品川区 狭山市 台東区 葛飾区 江戸川区 荒川区 杉並区
–shin Suzuki
カテゴリー:セラミック、ジルコニア審美歯科 YOUTUBE動画症例集 ,症例集 ,未分類 投稿日:2013年5月20日
セラミックジルコニアの4本ブリッジの動画説明の症例 写真 画像
セラミックジルコニアの 4本ブリッジ YOUTUBE動画 説明 (ここをクリック!すると 動画が再生されます) の症例 写真 画像
カテゴリー:セラミック、ジルコニア審美歯科 YOUTUBE動画症例集 ,症例集 ,未分類 投稿日:2013年5月10日
オールセラミックジルコニア 2本 銀歯を白くしたYOUTUBE動画説明 写真
ジルコニアセラミック 2本奥歯 銀歯を白くした YOUTUBE動画 説明 (ここをクリック!すると動画が再生されます。) 写真 画像 の 症例 です。
オールセラミックとも、ジルコニアオールセラミックとも違います。フルジルコニアクラウン、ピュアジルコニアクラウン、オールジルコニアクラウン、ブリッジ、セルコン Z冠 パールクラウン ZEP冠 ダイヤモンドクラウン タイザン アプリコットクラウン 埼玉県さいたま市大宮駅西口7分鈴木歯科医院矯正インプラントセンターhttp://www.e-haisha3.com/archives.html 048-641-0935 ピュアジルコニアクラウン オールジルコニアクラウン フルジルコニアクラウン ブリッジ オールセラミッククラウン ジルコニアオールセラミック オールジルコニアオールセラミッククラウン セルコン Z冠 安い 格安 激安 65000円 52500円 色調調整 あり なし 違い ダイヤモンドオールセラミック 銀歯を白い歯にする湘南美容外科 SBC 38000円 セルコンZ冠 パールクラウン ZEP冠 デンツプライ 三金ラボラトリー 原価 技工費用 技工所 カタナ ラヴァ KATANA LAVA Z-CAD HTL ホワイト ライト ミディアム 色 インテンス A1 A2 A3 プレミアム METOXIT メトキシ 35000円
の説明の保険適用のレジンで説明動画
ハードレジンジャケットクラウンや小臼歯の白いプラスチックのかぶせもの 保険適用内 保険診療で白い歯にできないの?CR フロアブルレジン 金属アレルギー 皮膚科 パッチテスト
オールジルコニアクラウン フルジルコニアクラウン
前歯のオールセラミックやホワイトジルコニアクラウン白い歯のオールセラミッククラウン、ジルコニア、ハイブリッドセラミック、セラミックインレーが割れた 歯ぎしり 割れない ジルコニアインレー ラミネートベニア 保険 銀歯 修理 方法
ポーセレン 噛む力強い 食いしばる
かみ合わせ 噛み合わせ 頑丈 白い歯の歯茎と歯の境目 境い目 キワ(きわ、ふち、縁)が黒いのは虫歯や被せ物の金属が歯ぐきが下がって見えてきているからです。さらに根も変色しているのも原因の一つ。オールセラミッククラウンやオールジルコニアクラウン、ブリッジ 、ハイブリッドセラミックなどのメタルフリー 金属を不使用 使わない差し歯や被せ物 ブリッジをすれば防げるのです。解決法 方法 歯を白く 芸能人や清原和博、ガクト Gacktのような白い歯も可能です。保険診療と自費の違いの説明動画 症例 写真 奥歯や前歯 自費 保険の違い 安い 強度 頑丈さ 色 値段 費用 価格 名医 メタボン メタルボンド メタルセラミック 保険適応 保険診療 安い 口コミ 評判もいいです。 ブリッジ メタルフリー 金属アレルギー 金属使わない
HJK HJCのオールセラミッククラウン、オールジルコニアクラウン、フルジルコニアクラウン、ハイブリッドセラミック審美歯科の説明動画写真症例 金属アレルギー ホワイトニング 保険前歯の違い 奥歯 インレー クラウン 支払い 分割払い ローン 低料金 芸能人 清原和博 ガクト Gackt 歯医者 下顎 奥歯のインプラント手術 CT 3D化 simplant シミュレーション 抜歯 人工骨 骨再生 根が割れた 歯茎 歯ぐき 歯肉が腫れた 根の膿 安い 格安 激安 スクリューベント プラトン 滅菌 消毒 ちゃんとしてる オペ室がある 上尾市 鴻巣市 桶川市 春日部市 越谷市 口コミ 評判 うまい 腕がいい 三橋 指扇 久喜市 志木市 岩槻市 さいたま新都心 板橋区 足立区 西新井 西遊馬 宮原町 東口 東大宮 土呂町 白岡市新宿区 中野区 新三郷 三郷市 八潮市 羽生市 蓮田市 吉野町 吉川市 加須市 浅間町 日進 佐知川 天沼町 見沼区 浦和区常盤 北本市 北区 北浦和 与野本町 植田谷本 今羽 大成 櫛引 大和田 七里 風渡野 大宮公園 高鼻町 高木 本郷町 上小町 植竹 ステラタウン イオン
武蔵浦和 南浦和 川口市 戸田市 富士見市 白鍬 三条町 西大宮 病院 歯列矯正 二ツ宮 行田市 飯能市 草加市 和光市 北本市東松山市 朝霞市 蕨市 新座市 日高市 大田区 目黒区 世田谷区 品川区 狭山市 台東区 葛飾区 江戸川区 荒川区 杉並区
–shin Suzuki
カテゴリー:セラミック、ジルコニア審美歯科 YOUTUBE動画症例集 ,未分類 投稿日:2013年5月10日
ジルコニアオールセラミック3本ブリッジ YOUTUBE動画 症例写真
ジルコニアオールセラミックセラミック 3本ブリッジ YOUTUBE動画によるオールセラミックとフル、ピュアジルコニア(ここをクリック!すると再生されます) 症例 写真 画像 奥歯
オールセラミックとも、ジルコニアオールセラミックとも違います。フルジルコニアクラウン、ピュアジルコニアクラウン、オールジルコニアクラウン、ブリッジ、セルコン Z冠 パールクラウン ZEP冠 ダイヤモンドクラウン タイザン アプリコットクラウン 埼玉県さいたま市大宮駅西口7分鈴木歯科医院矯正インプラントセンターhttp://www.e-haisha3.com/archives.html 048-641-0935 ピュアジルコニアクラウン オールジルコニアクラウン フルジルコニアクラウン ブリッジ オールセラミッククラウン ジルコニアオールセラミック オールジルコニアオールセラミッククラウン セルコン Z冠 安い 格安 激安 65000円 52500円 色調調整 あり なし 違い ダイヤモンドオールセラミック 銀歯を白い歯にする湘南美容外科 SBC 38000円 セルコンZ冠 パールクラウン ZEP冠 デンツプライ 三金ラボラトリー 原価 技工費用 技工所 カタナ ラヴァ KATANA LAVA Z-CAD HTL ホワイト ライト ミディアム 色 インテンス A1 A2 A3 プレミアム METOXIT メトキシ 35000円
の説明の保険適用のレジンで説明動画
ハードレジンジャケットクラウンや小臼歯の白いプラスチックのかぶせもの 保険適用内 保険診療で白い歯にできないの?CR フロアブルレジン 金属アレルギー 皮膚科 パッチテスト
オールジルコニアクラウン フルジルコニアクラウン
前歯のオールセラミックやホワイトジルコニアクラウン白い歯のオールセラミッククラウン、ジルコニア、ハイブリッドセラミック、セラミックインレーが割れた 歯ぎしり 割れない ジルコニアインレー ラミネートベニア 保険 銀歯 修理 方法
ポーセレン 噛む力強い 食いしばる
かみ合わせ 噛み合わせ 頑丈 白い歯の歯茎と歯の境目 境い目 キワ(きわ、ふち、縁)が黒いのは虫歯や被せ物の金属が歯ぐきが下がって見えてきているからです。さらに根も変色しているのも原因の一つ。オールセラミッククラウンやオールジルコニアクラウン、ブリッジ 、ハイブリッドセラミックなどのメタルフリー 金属を不使用 使わない差し歯や被せ物 ブリッジをすれば防げるのです。解決法 方法 歯を白く 芸能人や清原和博、ガクト Gacktのような白い歯も可能です。保険診療と自費の違いの説明動画 症例 写真 奥歯や前歯 自費 保険の違い 安い 強度 頑丈さ 色 値段 費用 価格 名医 メタボン メタルボンド メタルセラミック 保険適応 保険診療 安い 口コミ 評判もいいです。 ブリッジ メタルフリー 金属アレルギー 金属使わない
HJK HJCのオールセラミッククラウン、オールジルコニアクラウン、フルジルコニアクラウン、ハイブリッドセラミック審美歯科の説明動画写真症例 金属アレルギー ホワイトニング 保険前歯の違い 奥歯 インレー クラウン 支払い 分割払い ローン 低料金 芸能人 清原和博 ガクト Gackt 歯医者 下顎 奥歯のインプラント手術 CT 3D化 simplant シミュレーション 抜歯 人工骨 骨再生 根が割れた 歯茎 歯ぐき 歯肉が腫れた 根の膿 安い 格安 激安 スクリューベント プラトン 滅菌 消毒 ちゃんとしてる オペ室がある 上尾市 鴻巣市 桶川市 春日部市 越谷市 口コミ 評判 うまい 腕がいい 三橋 指扇 久喜市 志木市 岩槻市 さいたま新都心 板橋区 足立区 西新井 西遊馬 宮原町 東口 東大宮 土呂町 白岡市新宿区 中野区 新三郷 三郷市 八潮市 羽生市 蓮田市 吉野町 吉川市 加須市 浅間町 日進 佐知川 天沼町 見沼区 浦和区常盤 北本市 北区 北浦和 与野本町 植田谷本 今羽 大成 櫛引 大和田 七里 風渡野 大宮公園 高鼻町 高木 本郷町 上小町 植竹 ステラタウン イオン
武蔵浦和 南浦和 川口市 戸田市 富士見市 白鍬 三条町 西大宮 病院 歯列矯正 二ツ宮 行田市 飯能市 草加市 和光市 北本市東松山市 朝霞市 蕨市 新座市 日高市 大田区 目黒区 世田谷区 品川区 狭山市 台東区 葛飾区 江戸川区 荒川区 杉並区
–shin Suzuki
カテゴリー:セラミック、ジルコニア審美歯科 YOUTUBE動画症例集 ,未分類 投稿日:2013年5月9日
奥歯の 銀歯を白い歯にした症例 画像
奥歯の 銀歯を白い歯にした症例 画像
銀歯の不適合を外して、白い歯にしました。
奥歯の銀の詰め物を保険でレジンにできますか?http://www2.ha-channel-88.com/soudann/soudann-00045809.html
一番奥の奥歯です。
もっと上等なかぶせものをという人は、ハイブリッドセラミックやオールセラミック メタルセラミック
絶対に割れてほしくない!歯ぎしりする!という人は、
ジルコニアクラウンですね。
オールジルコニアとか フルジルニアクラウン、 ピュアジルコニアクラウン、 Z冠、 アプリコットクラウン、などなど、
みんな好き勝手にジルコニアクラウンの商品名を付けているので、患者様方には、ややこしいですが。
オールセラミックとも、ジルコニアオールセラミックとも違います。フルジルコニアクラウン、ピュアジルコニアクラウン、オールジルコニアクラウン、ブリッジ、セルコン Z冠 パールクラウン ZEP冠 ダイヤモンドクラウン タイザン アプリコットクラウン 埼玉県さいたま市大宮駅西口7分鈴木歯科医院矯正インプラントセンターhttp://www.e-haisha3.com/archives.html 048-641-0935 ピュアジルコニアクラウン オールジルコニアクラウン フルジルコニアクラウン ブリッジ オールセラミッククラウン ジルコニアオールセラミック オールジルコニアオールセラミッククラウン セルコン Z冠 安い 格安 激安 65000円 52500円 色調調整 あり なし 違い ダイヤモンドオールセラミック 銀歯を白い歯にする湘南美容外科 SBC 38000円 セルコンZ冠 パールクラウン ZEP冠 デンツプライ 三金ラボラトリー 原価 技工費用 技工所 カタナ ラヴァ KATANA LAVA Z-CAD HTL ホワイト ライト ミディアム 色 インテンス A1 A2 A3 プレミアム METOXIT メトキシ 35000円
の説明の保険適用のレジンで説明動画
ハードレジンジャケットクラウンや小臼歯の白いプラスチックのかぶせもの 保険適用内 保険診療で白い歯にできないの?CR フロアブルレジン 金属アレルギー 皮膚科 パッチテスト
オールジルコニアクラウン フルジルコニアクラウン
前歯のオールセラミックやホワイトジルコニアクラウン白い歯のオールセラミッククラウン、ジルコニア、ハイブリッドセラミック、セラミックインレーが割れた 歯ぎしり 割れない ジルコニアインレー ラミネートベニア 保険 銀歯 修理 方法
ポーセレン 噛む力強い 食いしばる
かみ合わせ 噛み合わせ 頑丈 白い歯の歯茎と歯の境目 境い目 キワ(きわ、ふち、縁)が黒いのは虫歯や被せ物の金属が歯ぐきが下がって見えてきているからです。さらに根も変色しているのも原因の一つ。オールセラミッククラウンやオールジルコニアクラウン、ブリッジ 、ハイブリッドセラミックなどのメタルフリー 金属を不使用 使わない差し歯や被せ物 ブリッジをすれば防げるのです。解決法 方法 歯を白く 芸能人や清原和博、ガクト Gacktのような白い歯も可能です。保険診療と自費の違いの説明動画 症例 写真 奥歯や前歯 自費 保険の違い 安い 強度 頑丈さ 色 値段 費用 価格 名医 メタボン メタルボンド メタルセラミック 保険適応 保険診療 安い 口コミ 評判もいいです。 ブリッジ メタルフリー 金属アレルギー 金属使わない
HJK HJCのオールセラミッククラウン、オールジルコニアクラウン、フルジルコニアクラウン、ハイブリッドセラミック審美歯科の説明動画写真症例 金属アレルギー ホワイトニング 保険前歯の違い 奥歯 インレー クラウン 支払い 分割払い ローン 低料金 芸能人 清原和博 ガクト Gackt 歯医者 下顎 奥歯のインプラント手術 CT 3D化 simplant シミュレーション 抜歯 人工骨 骨再生 根が割れた 歯茎 歯ぐき 歯肉が腫れた 根の膿 安い 格安 激安 スクリューベント プラトン 滅菌 消毒 ちゃんとしてる オペ室がある 上尾市 鴻巣市 桶川市 春日部市 越谷市 口コミ 評判 うまい 腕がいい 三橋 指扇 久喜市 志木市 岩槻市 さいたま新都心 板橋区 足立区 西新井 西遊馬 宮原町 東口 東大宮 土呂町 白岡市新宿区 中野区 新三郷 三郷市 八潮市 羽生市 蓮田市 吉野町 吉川市 加須市 浅間町 日進 佐知川 天沼町 見沼区 浦和区常盤 北本市 北区 北浦和 与野本町 植田谷本 今羽 大成 櫛引 大和田 七里 風渡野 大宮公園 高鼻町 高木 本郷町 上小町 植竹 ステラタウン イオン
武蔵浦和 南浦和 川口市 戸田市 富士見市 白鍬 三条町 西大宮 病院 歯列矯正 二ツ宮 行田市 飯能市 草加市 和光市 北本市東松山市 朝霞市 蕨市 新座市 日高市 大田区 目黒区 世田谷区 品川区 狭山市 台東区 葛飾区 江戸川区 荒川区 杉並区
–shin Suzuki
カテゴリー:セラミック、ジルコニア審美歯科 YOUTUBE動画症例集 ,未分類 投稿日:2013年4月28日
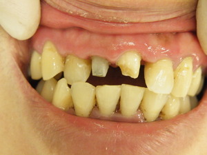
保険診療のの前歯2本の説明動画と症例
今日は 保険診療の前歯、差し歯を2本セットしました。YouTube動画で 説明を見たい方はここをクリック! すると見れます。
![]()
オールセラミックとも、ジルコニアオールセラミックとも違います。フルジルコニアクラウン、ピュアジルコニアクラウン、オールジルコニアクラウン、ブリッジ、セルコン Z冠 パールクラウン ZEP冠 ダイヤモンドクラウン タイザン アプリコットクラウン 埼玉県さいたま市大宮駅西口7分鈴木歯科医院矯正インプラントセンターhttp://www.e-haisha3.com/archives.html 048-641-0935 ピュアジルコニアクラウン オールジルコニアクラウン フルジルコニアクラウン ブリッジ オールセラミッククラウン ジルコニアオールセラミック オールジルコニアオールセラミッククラウン セルコン Z冠 安い 格安 激安 65000円 52500円 色調調整 あり なし 違い ダイヤモンドオールセラミック 銀歯を白い歯にする湘南美容外科 SBC 38000円 セルコンZ冠 パールクラウン ZEP冠 デンツプライ 三金ラボラトリー 原価 技工費用 技工所 カタナ ラヴァ KATANA LAVA Z-CAD HTL ホワイト ライト ミディアム 色 インテンス A1 A2 A3 プレミアム METOXIT メトキシ 35000円
の説明の保険適用のレジンで説明動画
ハードレジンジャケットクラウンや小臼歯の白いプラスチックのかぶせもの 保険適用内 保険診療で白い歯にできないの?CR フロアブルレジン 金属アレルギー 皮膚科 パッチテスト
オールジルコニアクラウン フルジルコニアクラウン
前歯のオールセラミックやホワイトジルコニアクラウン白い歯のオールセラミッククラウン、ジルコニア、ハイブリッドセラミック、セラミックインレーが割れた 歯ぎしり 割れない ジルコニアインレー ラミネートベニア 保険 銀歯 修理 方法
ポーセレン 噛む力強い 食いしばる
かみ合わせ 噛み合わせ 頑丈 白い歯の歯茎と歯の境目 境い目 キワ(きわ、ふち、縁)が黒いのは虫歯や被せ物の金属が歯ぐきが下がって見えてきているからです。さらに根も変色しているのも原因の一つ。オールセラミッククラウンやオールジルコニアクラウン、ブリッジ 、ハイブリッドセラミックなどのメタルフリー 金属を不使用 使わない差し歯や被せ物 ブリッジをすれば防げるのです。解決法 方法 歯を白く 芸能人や清原和博、ガクト Gacktのような白い歯も可能です。保険診療と自費の違いの説明動画 症例 写真 奥歯や前歯 自費 保険の違い 安い 強度 頑丈さ 色 値段 費用 価格 名医 メタボン メタルボンド メタルセラミック 保険適応 保険診療 安い 口コミ 評判もいいです。 ブリッジ メタルフリー 金属アレルギー 金属使わない
HJK HJCのオールセラミッククラウン、オールジルコニアクラウン、フルジルコニアクラウン、ハイブリッドセラミック審美歯科の説明動画写真症例 金属アレルギー ホワイトニング 保険前歯の違い 奥歯 インレー クラウン 支払い 分割払い ローン 低料金 芸能人 清原和博 ガクト Gackt 歯医者 下顎 奥歯のインプラント手術 CT 3D化 simplant シミュレーション 抜歯 人工骨 骨再生 根が割れた 歯茎 歯ぐき 歯肉が腫れた 根の膿 安い 格安 激安 スクリューベント プラトン 滅菌 消毒 ちゃんとしてる オペ室がある 上尾市 鴻巣市 桶川市 春日部市 越谷市 口コミ 評判 うまい 腕がいい 三橋 指扇 久喜市 志木市 岩槻市 さいたま新都心 板橋区 足立区 西新井 西遊馬 宮原町 東口 東大宮 土呂町 白岡市新宿区 中野区 新三郷 三郷市 八潮市 羽生市 蓮田市 吉野町 吉川市 加須市 浅間町 日進 佐知川 天沼町 見沼区 浦和区常盤 北本市 北区 北浦和 与野本町 植田谷本 今羽 大成 櫛引 大和田 七里 風渡野 大宮公園 高鼻町 高木 本郷町 上小町 植竹 ステラタウン イオン
武蔵浦和 南浦和 川口市 戸田市 富士見市 白鍬 三条町 西大宮 病院 歯列矯正 二ツ宮 行田市 飯能市 草加市 和光市 北本市東松山市 朝霞市 蕨市 新座市 日高市 大田区 目黒区 世田谷区 品川区 狭山市 台東区 葛飾区 江戸川区 荒川区 杉並区
–shin Suzuki
— iPhoneから送信
カテゴリー:セラミック、ジルコニア審美歯科 YOUTUBE動画症例集 ,未分類 投稿日:2013年4月24日
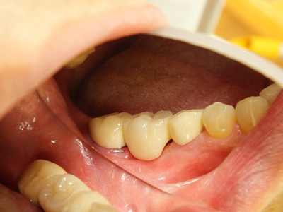
ジルコニアオールセラミックの3本ブリッジのYOUTUBE動画と画像症例
ジルコニアオールセラミックの 3本ブリッジ YOUTUBE動画 ここをクリック!すると 動画による 説明が見れます。
犬歯から奥歯までの3本ブリッジです。60代女性。 インプラントは避けて、 ブリッジで ということで。
ベストチョイスは? と聞かれれば、 インプラントです。 と 私なら答えますが、 その考えを押し付けはしません。![]()
手術は怖い、 費用が高い などの理由で、
ブリッジの選択をするのも 悪いことではありません。 ![]()
生きている健康な歯を削りたくない。
という方は、もちろんインプラントでしょう。
これは、 あくまでも 患者様の 自由な選択です。インプラントがすべてではない のです。
患者様の口腔内の条件によっては、
インプラントよりも ブリッジがベストチョイス!という場合もあります。 ![]()
良心的な 先生ほど、 経験 豊富な先生ほど、
その患者さんの気持ち、 性格、 予算や費用面 のこと、 その他の いろいろな要因 を考えて、 患者さんに合った、 一番いいと思われる 治療法を、いくつか 複数の選択肢として、 提示してあげる というのが良医、名医ではないかと思います。 利点 欠点も もちろん伝えてですね。![]()
オールセラミックとも、ジルコニアオールセラミックとも違います。フルジルコニアクラウン、ピュアジルコニアクラウン、オールジルコニアクラウン、ブリッジ、セルコン Z冠 パールクラウン ZEP冠 ダイヤモンドクラウン タイザン アプリコットクラウン 埼玉県さいたま市大宮駅西口7分鈴木歯科医院矯正インプラントセンターhttp://www.e-haisha3.com/archives.html 048-641-0935 ピュアジルコニアクラウン オールジルコニアクラウン フルジルコニアクラウン ブリッジ オールセラミッククラウン ジルコニアオールセラミック オールジルコニアオールセラミッククラウン セルコン Z冠 安い 格安 激安 65000円 52500円 色調調整 あり なし 違い ダイヤモンドオールセラミック 銀歯を白い歯にする湘南美容外科 SBC 38000円 セルコンZ冠 パールクラウン ZEP冠 デンツプライ 三金ラボラトリー 原価 技工費用 技工所 カタナ ラヴァ KATANA LAVA Z-CAD HTL ホワイト ライト ミディアム 色 インテンス A1 A2 A3 プレミアム METOXIT メトキシ 35000円
の説明の保険適用のレジンで説明動画
ハードレジンジャケットクラウンや小臼歯の白いプラスチックのかぶせもの 保険適用内 保険診療で白い歯にできないの?CR フロアブルレジン 金属アレルギー 皮膚科 パッチテスト
オールジルコニアクラウン フルジルコニアクラウン
前歯のオールセラミックやホワイトジルコニアクラウン白い歯のオールセラミッククラウン、ジルコニア、ハイブリッドセラミック、セラミックインレーが割れた 歯ぎしり 割れない ジルコニアインレー ラミネートベニア 保険 銀歯 修理 方法
ポーセレン 噛む力強い 食いしばる
かみ合わせ 噛み合わせ 頑丈 白い歯の歯茎と歯の境目 境い目 キワ(きわ、ふち、縁)が黒いのは虫歯や被せ物の金属が歯ぐきが下がって見えてきているからです。さらに根も変色しているのも原因の一つ。オールセラミッククラウンやオールジルコニアクラウン、ブリッジ 、ハイブリッドセラミックなどのメタルフリー 金属を不使用 使わない差し歯や被せ物 ブリッジをすれば防げるのです。解決法 方法 歯を白く 芸能人や清原和博、ガクト Gacktのような白い歯も可能です。保険診療と自費の違いの説明動画 症例 写真 奥歯や前歯 自費 保険の違い 安い 強度 頑丈さ 色 値段 費用 価格 名医 メタボン メタルボンド メタルセラミック 保険適応 保険診療 安い 口コミ 評判もいいです。 ブリッジ メタルフリー 金属アレルギー 金属使わない
HJK HJCのオールセラミッククラウン、オールジルコニアクラウン、フルジルコニアクラウン、ハイブリッドセラミック審美歯科の説明動画写真症例 金属アレルギー ホワイトニング 保険前歯の違い 奥歯 インレー クラウン 支払い 分割払い ローン 低料金 芸能人 清原和博 ガクト Gackt 歯医者 下顎 奥歯のインプラント手術 CT 3D化 simplant シミュレーション 抜歯 人工骨 骨再生 根が割れた 歯茎 歯ぐき 歯肉が腫れた 根の膿 安い 格安 激安 スクリューベント プラトン 滅菌 消毒 ちゃんとしてる オペ室がある 上尾市 鴻巣市 桶川市 春日部市 越谷市 口コミ 評判 うまい 腕がいい 三橋 指扇 久喜市 志木市 岩槻市 さいたま新都心 板橋区 足立区 西新井 西遊馬 宮原町 東口 東大宮 土呂町 白岡市新宿区 中野区 新三郷 三郷市 八潮市 羽生市 蓮田市 吉野町 吉川市 加須市 浅間町 日進 佐知川 天沼町 見沼区 浦和区常盤 北本市 北区 北浦和 与野本町 植田谷本 今羽 大成 櫛引 大和田 七里 風渡野 大宮公園 高鼻町 高木 本郷町 上小町 植竹 ステラタウン イオン
武蔵浦和 南浦和 川口市 戸田市 富士見市 白鍬 三条町 西大宮 病院 歯列矯正 二ツ宮 行田市 飯能市 草加市 和光市 北本市東松山市 朝霞市 蕨市 新座市 日高市 大田区 目黒区 世田谷区 品川区 狭山市 台東区 葛飾区 江戸川区 荒川区 杉並区
–shin Suzuki
ハイブリッドセラミックの3本ブリッジのYOUTUBE動画説明 写真
ハイブリッドセラミック の3本ブリッジの YOUTUBE動画 説明です。 ここをクリック! すると再生されます。 写真 画像
奥歯両方とも生きている歯です。ベストは、インプラントですが、インプラント選択しないのも
悪くはないです。ブリッジは、そのかわり、歯を削ってかぶせます。あとは、メインテナンスでよく歯磨きが重要。定期検診も重要です。
生きている歯は、削るとしみることがあるので、もしも、しみるのが強い場合は、神経を除去する処置をしなくてはなりません。
また、ブリッジやセラミックの厚みを確保するために、歯を削りますので、生きている歯ほどしみやすくなります。すでに神経を取られている歯は、コアという状態になっているので、削られても痛みはありません。
これでセットさせました。
オールセラミックとも、ジルコニアオールセラミックとも違います。フルジルコニアクラウン、ピュアジルコニアクラウン、オールジルコニアクラウン、ブリッジ、セルコン Z冠 パールクラウン ZEP冠 ダイヤモンドクラウン タイザン アプリコットクラウン 埼玉県さいたま市大宮駅西口7分鈴木歯科医院矯正インプラントセンターhttp://www.e-haisha3.com/archives.html 048-641-0935 ピュアジルコニアクラウン オールジルコニアクラウン フルジルコニアクラウン ブリッジ オールセラミッククラウン ジルコニアオールセラミック オールジルコニアオールセラミッククラウン セルコン Z冠 安い 格安 激安 65000円 52500円 色調調整 あり なし 違い ダイヤモンドオールセラミック 銀歯を白い歯にする湘南美容外科 SBC 38000円 セルコンZ冠 パールクラウン ZEP冠 デンツプライ 三金ラボラトリー 原価 技工費用 技工所 カタナ ラヴァ KATANA LAVA Z-CAD HTL ホワイト ライト ミディアム 色 インテンス A1 A2 A3 プレミアム METOXIT メトキシ 35000円
の説明の保険適用のレジンで説明動画
ハードレジンジャケットクラウンや小臼歯の白いプラスチックのかぶせもの 保険適用内 保険診療で白い歯にできないの?CR フロアブルレジン 金属アレルギー 皮膚科 パッチテスト
オールジルコニアクラウン フルジルコニアクラウン
前歯のオールセラミックやホワイトジルコニアクラウン白い歯のオールセラミッククラウン、ジルコニア、ハイブリッドセラミック、セラミックインレーが割れた 歯ぎしり 割れない ジルコニアインレー ラミネートベニア 保険 銀歯 修理 方法
ポーセレン 噛む力強い 食いしばる
かみ合わせ 噛み合わせ 頑丈 白い歯の歯茎と歯の境目 境い目 キワ(きわ、ふち、縁)が黒いのは虫歯や被せ物の金属が歯ぐきが下がって見えてきているからです。さらに根も変色しているのも原因の一つ。オールセラミッククラウンやオールジルコニアクラウン、ブリッジ 、ハイブリッドセラミックなどのメタルフリー 金属を不使用 使わない差し歯や被せ物 ブリッジをすれば防げるのです。解決法 方法 歯を白く 芸能人や清原和博、ガクト Gacktのような白い歯も可能です。保険診療と自費の違いの説明動画 症例 写真 奥歯や前歯 自費 保険の違い 安い 強度 頑丈さ 色 値段 費用 価格 名医 メタボン メタルボンド メタルセラミック 保険適応 保険診療 安い 口コミ 評判もいいです。 ブリッジ メタルフリー 金属アレルギー 金属使わない
HJK HJCのオールセラミッククラウン、オールジルコニアクラウン、フルジルコニアクラウン、ハイブリッドセラミック審美歯科の説明動画写真症例 金属アレルギー ホワイトニング 保険前歯の違い 奥歯 インレー クラウン 支払い 分割払い ローン 低料金 芸能人 清原和博 ガクト Gackt 歯医者 下顎 奥歯のインプラント手術 CT 3D化 simplant シミュレーション 抜歯 人工骨 骨再生 根が割れた 歯茎 歯ぐき 歯肉が腫れた 根の膿 安い 格安 激安 スクリューベント プラトン 滅菌 消毒 ちゃんとしてる オペ室がある 上尾市 鴻巣市 桶川市 春日部市 越谷市 口コミ 評判 うまい 腕がいい 三橋 指扇 久喜市 志木市 岩槻市 さいたま新都心 板橋区 足立区 西新井 西遊馬 宮原町 東口 東大宮 土呂町 白岡市新宿区 中野区 新三郷 三郷市 八潮市 羽生市 蓮田市 吉野町 吉川市 加須市 浅間町 日進 佐知川 天沼町 見沼区 浦和区常盤 北本市 北区 北浦和 与野本町 植田谷本 今羽 大成 櫛引 大和田 七里 風渡野 大宮公園 高鼻町 高木 本郷町 上小町 植竹 ステラタウン イオン
武蔵浦和 南浦和 川口市 戸田市 富士見市 白鍬 三条町 西大宮 病院 歯列矯正 二ツ宮 行田市 飯能市 草加市 和光市 北本市東松山市 朝霞市 蕨市 新座市 日高市 大田区 目黒区 世田谷区 品川区 狭山市 台東区 葛飾区 江戸川区 荒川区 杉並区




