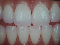
インターネットから矯正と審美歯科セラミック患者さん
ホームページとYOUTUBE動画(ここをクリックするとセラミック説明の動画が見れます)見て予約してくださった歯列矯正と審美歯科セラミックの患者さんが来院されました。
浦和区常盤からです。北浦和南浦和 武蔵浦和からも多いですね。
出っ歯とすきっ歯を引っ込めたいという症例です。youtube動画写真も見てくれていました。
その他の治療方法はオールセラミッククラウンやジルコニアで前歯の隙間を埋めて歯並びをきれいにする早い安い方法もあります。これなら抜歯しないでスピード矯正できますね。\(^o^)/
![]()
![]()
インターネットから矯正患者さんとインプラント セラミックも
ホームページを見て予約してくださった歯列矯正とインプラントの患者さんが来院されました。中野区 東中野 中野坂上からです。私も9年も住んでたから懐かしいです\(^o^)/今日はさっそく型取りと写真撮影して次回スタートです。目立たない安い速いなるべく抜歯しないでスピード矯正します
さらにホワイトニングと銀歯をオールセラミックやハイブリッドセラミックにします。
— iPhoneから送信
休み中も矯正カウンセリング
ホームページを見た歯列矯正の患者さんのカウンセリング相談をしました。さいたま新都心 北与野からです。
八重歯と出っ歯を引っ込めたいとのことでした。目立たない 安いなるべく早い速い なるべく抜歯しないでスピード矯正します。\(^o^)/
— iPhoneから送信
カテゴリー:白いワイヤー矯正、抜歯しないor抜歯矯正 ,床矯正 成人矯正、小児矯正 ,未分類 投稿日:2013年3月20日
インターネットから矯正患者さん 上尾市 桶川市
ホームページを見て予約してくださった歯列矯正の患者さんが来院されました。
上尾市や桶川市からです。
出っ歯と前歯のガタガタを矯正したいとのことでした。それを目立たず早い安いなるべく抜歯しないでスピード矯正します。\(^o^)/
患者さんの安いの感覚が、46万~56万で安い!と思う人と
30万で安い!と思う人もいますので、そこらへんが難しいところです。
矯正歯科医院で見積やカウンセリングを受けている方は、安い上に早い速い、なるべく抜歯しないで目立たない矯正の4条件を踏まえた上で判断してくれます。
矯正歯科医院で見積もり100-120万円や4本抜歯や3年間くらいの矯正期間と言われた患者さんは、
当医院の安さ以外の価値も分かっていただけます。
伝わりにくくて申し訳ないです。是非、YOUTUBE動画での症例説明を見てくれたらと思います。
— iPhoneから送信
カテゴリー:白いワイヤー矯正、抜歯しないor抜歯矯正 ,床矯正 成人矯正、小児矯正 ,未分類 投稿日:2013年3月18日
七里 見沼から矯正患者さん 風渡野
ホームページを見て予約してくださった歯列矯正の患者さんが七里 ななさと から来院されました。
患者さんの安いの感覚が、46万~56万で安い!と思う人と
30万で安い!と思う人もいますので、そこらへんが難しいところです。
矯正歯科医院で見積やカウンセリングを受けている方は、安い上に早い速い、なるべく抜歯しないで目立たない矯正の4条件を踏まえた上で判断してくれます。
矯正歯科医院で見積もり100-120万円や4本 抜歯や3年間くらいの矯正期間と言われた患者さんは、
当医院の安さ以外の価値も分かっていただけます。
伝わりにくくて申し訳ないです。是非、YOUTUBE動画での症例説明を見てくれたらと思います。
下顎の前歯がガタガタしているのを矯正したいという高校生です。最近は、中学生もたくさん矯正しています。次回から矯正開始です。
ちなみに、うちの歯科衛生士さんも見沼区風渡野に住んでいました。今は違う歯科クリニックで働いているでしょう。\(^o^)/
— iPhoneから送信
カテゴリー:白いワイヤー矯正、抜歯しないor抜歯矯正 ,床矯正 成人矯正、小児矯正 ,未分類 投稿日:2013年3月11日
インターネットから矯正患者さん 墨田区
ホームページを見て予約してくださった歯列矯正の患者さんが来院されました。墨田区からです。
八重歯と前歯のガタガタをキレイにしたいという症例です。
マウスピース矯正を希望でしたが、どこも医院でもワイヤー矯正でないと無理と言われるような歯並びでした。
白いワイヤー矯正でかなり目立たない矯正ができます。さらに早い目立たない抜歯しないで安いという矯正をします。
— iPhoneから送信
カテゴリー:白いワイヤー矯正、抜歯しないor抜歯矯正 ,床矯正 成人矯正、小児矯正 ,未分類 投稿日:2013年3月9日
インターネットから矯正患者さん 東京都北区
ホームページを見て予約してくださった歯列矯正の患者さんが来院されました。東京都北区からです。
![]()
前歯のガタガタをクリアアライナーやアソアライナー イークライナーなどのマウスピース矯正でやりたいという症例です。ついでに奥歯のハイブリッドセラミックの白い被せ物の治療も今日はしました。\(^o^)/ インビザライン アクアシステム
— iPhoneから送信
カテゴリー:白いワイヤー矯正、抜歯しないor抜歯矯正 ,床矯正 成人矯正、小児矯正 ,未分類 投稿日:2013年3月8日
インターネットから矯正患者さん 上尾市
ホームページを見て予約してくださった歯列矯正の患者さんが来院されました。上尾市からです。
Facebookでいいね!をしてくれていた患者さんなので親しみが湧きますねo(^▽^)o
だからこそ、引き受けてあげたかったので、難しい症例でしたが引き受けることができました\(^o^)/
前歯がガタガタケースでさらに引っ込めたいとのことでした。さっそく今日は型取りと写真撮影をして次回から治療開始です。
— iPhoneから送信
カテゴリー:白いワイヤー矯正、抜歯しないor抜歯矯正 ,床矯正 成人矯正、小児矯正 ,未分類 投稿日:2013年3月6日
インターネットから矯正患者さん 足立区
ホームページを見て予約してくださった歯列矯正の患者さんが来院されました。足立区からです。12月の年末から就職活動があるので、とにかく早い速い矯正とマウスピース矯正のクリアアライナーを希望でした。スピード矯正します。さっそく今日から型取りと写真撮影をして終了。
最近は、就活の面接に向けて歯並びを矯正してキレイな笑顔にしたいという女性が増えていますね\(^o^)/
ちなみに他の矯正歯科医院を2件行ってましたが、120万円の見積りだったそうです。
3-4年の治療期間で。
— iPhoneから送信
カテゴリー:白いワイヤー矯正、抜歯しないor抜歯矯正 ,床矯正 成人矯正、小児矯正 ,未分類 投稿日:2013年3月5日
インターネットから矯正患者さん2件 越谷市 大宮
ホームページを見て予約してくださった歯列矯正の患者さんが2名 友達2人で来院されました。
越谷市と大宮です。
一人は出っ歯を引っ込めたいとのことでした。もう一人は下顎の八重歯です。二人とも難しい症例で、乳歯が残存していたり、左右非対称な歯並びのケースでした。o(^▽^)o![]()
— iPhoneから送信
カテゴリー:白いワイヤー矯正、抜歯しないor抜歯矯正 ,床矯正 成人矯正、小児矯正 ,未分類 投稿日:2013年3月2日




