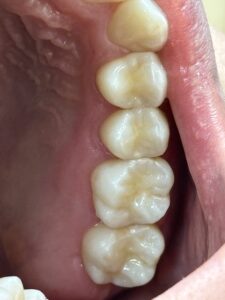
奥歯が欠けてズキズキ痛い 噛めない 保険適応でハイブリッドセラミックやCAD/CAM冠インレー クラウン 埼玉県さいたま市大宮駅5分 鈴木歯科医院 セラミック ジルコニア前歯

虫歯で奥歯が欠けてズキズキ痛い、噛めない 咬みにくい 食事もだんだんしづらく ついでに歯が冷たい水にしみる!
歯の神経を取る根の治療 根管治療をすれば治ります。治した後は 保険適応でハイブリッドセラミックやCAD/CAM冠インレー クラウンなどで白い歯で治すといいですね。もちろんセラミックやジルコニアの治療もあります。
ついでに歯周病治療や歯茎が腫れた 歯石をクリーニングしたい 膿を治したいという希望もありますね
治療費は 安い方がいいので ちゃんと治療して保険で診療してくれる歯医者さんが近くにないのかな?という声も多いですね。
丁寧な説明で優しい診療を心がけています。
埼玉県 さいたま市 大宮駅5分 鈴木歯科医院
埼玉県さいたま市大宮駅5分 鈴木歯科医院 埼玉県さいたま市大宮 鈴木歯科医院 安い 白いワイヤー矯正 マウスピース矯正歯科医院
ーーーー
当医院には 見沼区 岩槻区 浦和 上尾 川越
川口市 加須市 春日部 三郷市 戸田 蕨 行田 鴻巣市 桶川市 所沢 茨城県古河 などから来院されます。
*******************
■鈴木歯科医院 矯正 YouTubeチャンネル
YouTube · Dr慎YouTube鈴木歯科医院・矯正・埼玉8430 人以上のフォロワーDr慎YouTube鈴木歯科医院・矯正・
■鈴木歯科医院 Dr.慎二郎のInstagram
下記をクリック お願いします
https://www.instagram.com/suzukidentaloffice/
@user4628177061517
https://www.tiktok.com/@user4628177061517?_t=ZS-8vIDbsHtI5o&_r=1
投稿日:2025年12月6日 カテゴリー:セラミック、ジルコニア審美歯科 YOUTUBE動画症例集 , 審美歯科オールセラミック、ジルコニア ハイブリッドセラミック, 虫歯、しみる、噛むと痛い、根の治療,膿腫れた




