奥歯のインプラントのセット症例 写真
左下の奥歯のインプラントのセット症例 写真です
ガッチリ骨にインプラントが結合しています!![]()
カテゴリー:症例集 ,インプラント症例集 YOUTUBE動画 ,未分類 投稿日:2013年10月3日
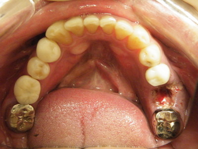
インプラントの奥歯のセット 症例 写真 画像
インプラントの奥歯のセット 症例 写真 画像
カテゴリー:インプラント症例集 YOUTUBE動画 ,未分類 投稿日:2013年9月8日
インプラントの奥歯のセット症例 写真 画像
インプラントの奥歯のセット症例 写真 画像
当医院は基本的にスクリューリテイン方式(ねじ止め式、セメント合着式ではないということです。)です。
さらに、こういった2本のインプラントの場合は、
必ずブリッジにして、連結して強固にし頑丈、長持ちさせます。
何かあれば、いつでも外せますし、将来、私以外の先生でも、簡単に管理、引継ぎできるようにしています。
この患者さんは、来月9月以降に、さらに上の奥歯と前歯のインプラントが2本追加で完成します。
娘さんは、矯正終了済みで、親子でインターネットから来院されているケースです。
カテゴリー:インプラント症例集 YOUTUBE動画 ,未分類 投稿日:2013年8月11日
最近のインプラントの症例 レントゲン写真で簡単に発表
最近のインプラントの経過やオペ後の写真
の一部を紹介します。何本かは数えていません。
簡単にレントゲン写真を掲載。
1~2本のインプラントは30分~45分の短時間で終了、
痛みも腫れも少しだけです。
カテゴリー:インプラント症例集 YOUTUBE動画 ,未分類 投稿日:2013年8月6日
インプラントの奥歯のセットの動画説明と症例画像
インプラントの奥歯のセットの動画説明 と 症例画像 YOUTUBE動画 で説明を見たい方はここをクリック! すると再生されます。
右下は昨日抜歯して人工骨とコラーゲンで再生した場所 2日でこの治癒状態 ここもインプラントにします
カテゴリー:インプラント症例集 YOUTUBE動画 ,未分類 投稿日:2013年4月25日
インプラント奥歯のブリッジセット、セラミックブリッジもセット症例写真
インプラント奥歯のブリッジセット、
銀歯を白くかぶせ直し、セラミックブリッジもセット症例写真
左右に3本インプラントを奥歯に埋入します。
上顎の奥歯は、根が割れて抜歯し、ハイブリッドセラミックブリッジになる前の仮歯ブリッジ
上下のブリッジや銀歯はハイブリッドセラミックのブリッジです。 奥歯は、インプラントブリッジです。
右下も、銀歯はセラミックの白い歯にかぶせ直し、奥歯は、インプラントです。
カテゴリー:症例集 ,インプラント症例集 YOUTUBE動画 ,未分類 投稿日:2012年12月23日
奥歯のインプラント3本ブリッジの症例 写真
奥歯のインプラント3本ブリッジの症例 写真
奥歯は、骨が薄く、3ミリ~6ミリを3本ソケットリフトしたケースです。
カテゴリー:症例集 ,インプラント症例集 YOUTUBE動画 ,未分類 投稿日:2012年12月1日
奥歯に3本インプラント手術の症例 写真 画像
奥歯に3本インプラント手術の症例 写真 画像
カテゴリー:症例集 ,インプラント症例集 YOUTUBE動画 ,未分類 投稿日:2012年11月2日
奥歯に2本インプラント手術の症例 写真 画像
奥歯に2本インプラント手術の症例 写真 画像
カテゴリー:症例集 ,インプラント症例集 YOUTUBE動画 ,未分類 投稿日:2012年11月2日
前歯にインプラント手術の症例 写真 画像
前歯にインプラント手術の症例 写真 画像
カテゴリー:症例集 ,インプラント症例集 YOUTUBE動画 ,未分類 投稿日:2012年11月2日




